KI: Neues Modell bringt mehr Klarheit in medizinische Daten
15.07.2025Ein Forschungsteam der Universität Würzburg hat ein KI-Modell entwickelt, das dreidimensionale Bilder in der Medizin besser interpretiert als andere Modelle. Damit hat es einen internationalen Wettbewerb gewonnen.
Dr. Adrian Krenzer ist Informatiker und leitet eine Nachwuchsforschungsgruppe am CAIDAS, dem Zentrum für Künstliche Intelligenz und Data Science der Julius-Maximilians-Universität Würzburg (JMU). Mit seiner Arbeitsgruppe hat er jetzt erfolgreich an dem Wettbewerb „Foundation Models for Interactive 3D Biomedical Image Segmentation“ teilgenommen. Ausgezeichnet wurde das Team für seine Entwicklung eines KI-Modells, das dabei hilft, dreidimensionale medizinische Bilddaten besser auszuwerten.
Zum Hintergrund: Klassische Röntgenbilder kennt vermutlich jeder, viele haben sie womöglich schon selbst in der Hand gehalten. Bei der Analyse dieser zweidimensionalen Werke wird mittlerweile immer öfter künstliche Intelligenz eingesetzt – und das mit großem Erfolg, beispielsweise wenn es darum geht, Lungenerkrankungen, Knochenbrüche oder Tumore zu identifizieren.
3D-Daten stellen eine Herausforderung dar
Schwieriger wird die Angelegenheit, wenn die KI dreidimensionale medizinische Bilddaten auswerten soll, wie sie beispielsweise in der Magnetresonanztomographie oder in einem Computertomographen gewonnen werden. „In solchen Fällen stellen 3D-Daten mit ihrer Vielschichtigkeit und Vielzahl an Modalitäten noch eine Herausforderung für die KI dar“, erklärt Adrian Krenzer.
Eine Herausforderung war deshalb auch die Aufgabe, die Teams im Rahmen des Wettbewerbs erledigen sollten. Die von ihnen entwickelten KI-Modelle sollten verschiedene Körperstrukturen automatisch erkennen und markieren können und dabei auf Rückmeldungen von Nutzern reagieren, um ihre Ergebnisse weiter zu verbessern. „Solche Verfahren können die Arbeit in der medizinischen Forschung und Diagnostik deutlich schneller und verlässlicher machen“, so Krenzer.
Ausgetragen wurde der Wettbewerb im Rahmen der Conference on Computer Vision and Pattern Recognition (CVPR) 2025, der weltweit bedeutendsten und größten wissenschaftlichen Konferenz im Bereich „Computer Vision“, die zu den renommiertesten Veranstaltungen im gesamten Bereich der Künstlichen Intelligenz zählt.
Automatische Segmentierung und interaktive Verfeinerung
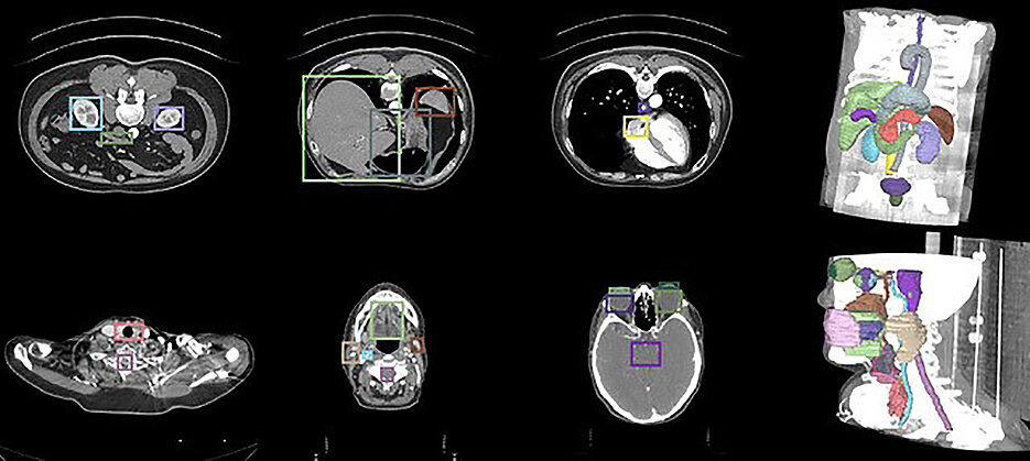
„Unser Team hat ein KI-Modell entwickelt, das dreidimensionale medizinische Bilddaten, etwa aus CT-, MRT- oder Ultraschalluntersuchungen, nicht nur automatisch segmentiert, sondern auch interaktiv verfeinern kann“, erklärt der Informatiker. „Segmentierung“ bedeutet in diesem Fall, dass die KI ein Bild in verschiedene Bereiche unterteilt und, wenn gewünscht, bestimmte Strukturen gezielt identifiziert und hervorhebt – also beispielsweise Lungengewebe rot darstellt und einen kleinen Tumor gelb hervorhebt.
Die „interaktive Verfeinerung“ setzt auf die Unterstützung durch die Anwenderinnen und Anwender. „Diese können beispielsweise mit einfachen Klicks eine Region markieren, die das Modell übersehen hat. Das System reagiert darauf in Echtzeit und passt die Segmentierung entsprechend an“, erklärt Krenzer. Dabei handele es sich um eine Art „Dialog zwischen Mensch und KI“.
Spitzenergebnisse in dem Wettbewerb
Technisch basiert das neuentwickelte KI-Modell auf einer besonders schnellen und speichereffizienten Variante bereits existierender Modelle, die ursprünglich für die Analyse von Videos entwickelt wurden. „Wir haben diese Architektur für den medizinischen Bereich angepasst und um Mechanismen erweitert, die eine konsistente Segmentierung über mehrere Bildschnitte hinweg ermöglichen“, so Krenzer. Aufgrund seiner technischen Spezifikationen kann das Modell anatomische Strukturen über die Tiefe des Volumens hinweg erkennen, stabil verfolgen und gezielt verbessern.
„In der Challenge erzielte unser Modell in allen wichtigen Kategorien, wie beispielsweise Genauigkeit, Interaktivität und Laufzeit, Bestwerte, sowohl mit einem stark reduzierten Trainingsdatensatz als auch im Vergleich mit internationalen Forschungsteams im Haupt-Wettbewerb“, freut sich Krenzer. Das Modell setze damit neue Maßstäbe: Es erlaubt eine interaktive Segmentierung mit sofortigem Feedback und verbessert sich mit jedem Klick – „ein potenzieller Game Changer für klinische Anwendungen“, wie der Informatiker sagt.
Über das Team
Das Projekt entstand in der Forschungsgruppe Artificial Intelligence in Medical Applications (AIM) an der Universität Würzburg. Zu deren Mitgliedern gehören neben Adrian Krenzer, Tobias Friedetzki, Lorenz Haberzettl und Ricarda Buttmann. AIM entwickelt KI-Lösungen für die medizinische Bildanalyse, mit Fokus auf klinische Relevanz, Transparenz und interdisziplinäre Zusammenarbeit.
Gefördert wird das Projekt durch das Bayerische Forschungsinstitut für Digitale Transformation (bidt) und die Bayerisch-Tschechische Hochschulagentur (BTHA).
Kontakt
Dr. Adrian Krenzer, Nachwuchsgruppe für Künstliche Intelligenz in medizinisch relevanten Anwendungen, T: +49 931 31-84971, adrian.krenzer@uni-wuerzburg.de
