Spiel, Spaß – und Knacks!
13.09.2022Trampolinspringen ist bei Kindern und Jugendlichen zunehmend beliebt. In der Kinderchirurgie des Uniklinikums Würzburg häufen sich jedoch auch die damit verbundenen Verletzungen.
In den vergangenen Jahren hat das Trampolinspringen in der Freizeit bei Kindern und Jugendlichen in Deutschland und international stark an Popularität gewonnen. Leider stiegen damit auch die Unfallzahlen spürbar. In Deutschland ereignen sich derzeit an Trampolins jährlich rund 40.000 Unfälle, wobei Mädchen und Jungen gleich häufig betroffen sind. Der Altersdurchschnitt liegt dabei bei acht Jahren.
Auch in der Abteilung für Kinderchirurgie – Kinderurologie und Kindertraumatologie der Chirurgischen Klinik I des Uniklinikums Würzburg (UKW) war in den vergangenen Jahren eine deutliche Zunahme der Trampolin-assoziierten Verletzungen zu registrieren.
Professor Thomas Meyer, der Leiter der Abteilung, schildert: „68 Prozent der Unfälle passieren, wenn mehrere Kinder gleichzeitig springen, und bei 42 Prozent ist eine missglückte Landung die Ursache. Bei der Hälfte aller Kinder ist die untere Extremität verletzt, bei einem Drittel die obere Extremität – hier vor allen Dingen der Ellenbogen.“ Obwohl Halswirbelverletzungen relativ selten seien, ist nach den Worten des Experten das Risiko einer Querschnittslähmung jedoch nicht zu unterschätzen.
Typische Verletzungen
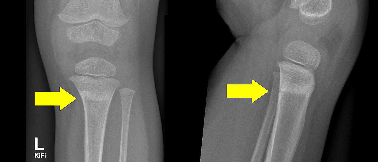
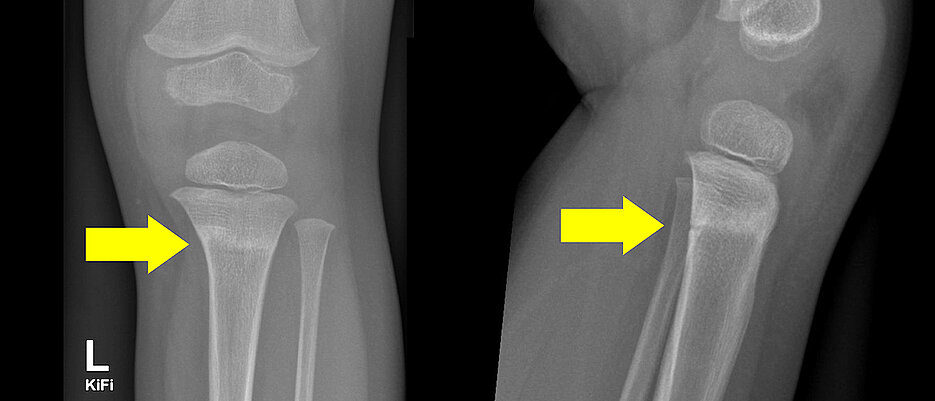
Zu den „klassischen“ Verletzungen von Kindern unter sechs Jahren beim Trampolinspringen gehört die proximale Tibiafraktur, also ein Bruch des oberen Schienbeins. „Dafür hat sich in der Fachwelt schon der Name ‚Trampolinfraktur‘ eingebürgert“, sagt Professor Meyer. „Ursächlich ist hier immer das Trampolinspringen zusammen mit einem schwereren Kind oder einem Erwachsenen. Hier kann es leicht zu einem Katapult-Effekt kommen“, so der Mediziner.
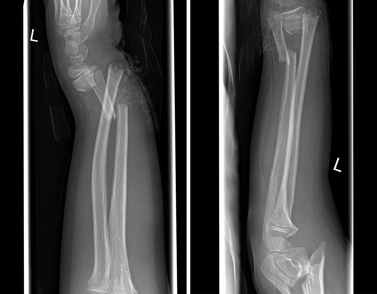
Schwere Unfälle treten nach seinen Angaben auch dann auf, wenn das Netz um das Trampolin nicht geschlossen oder defekt ist. In dieser Situation sind gravierende Verletzungen im Bereich des Ellenbogengelenkes oder des unteren Unterarms keine Seltenheit.
Auch wenn Kinder zusammen mit anderen Sportgeräten, wie zum Beispiel einem Ball, auf dem Trampolin springen, sind schwerwiegende Verletzungen möglich. So berichtet Meyer im Zusammenhang mit diesem Szenario über eine Häufung von Knieverletzungen, die normalerweise im Kleinkindes- und Schulalter extrem selten auftreten.
Manche Verletzungen nicht sofort ersichtlich
Neben diesen leicht ersichtlichen Verletzungen erlebt Meyer in seinem Klinikalltag jedoch auch Verletzungen, die nicht sofort mit dem Trampolinspringen in Zusammenhang zu bringen sind. Hier erinnert sich der Kinderchirurg beispielsweise an eine kleine Patientin, die mit zunehmenden Bauchschmerzen vorgestellt wurde. Das Mädchen erzählte, dass die Beschwerden plötzlich eingesetzt hätten und sie im Verlauf mehrfach erbrochen habe.
Im Nebensatz wurde ein vorausgegangenes, exzessives Trampolinspringen erwähnt, in dessen Verlauf es dann zu den plötzlichen Schmerzen gekommen sei. Klinisch bestätigte sich der Befund eines verdrehten Eierstockes. Glücklicherweise konnte das kinderchirurgische Team des UKW in einer Schlüsselloch-Operation die Verdrehung wieder auflösen und den Eierstock somit erhalten.
Warn- und Sicherheitshinweise berücksichtigen
Die Deutsche Gesellschaft für Kinderchirurgie sowie die Deutsche Gesellschaft für Orthopädie und Unfallchirurgie haben in den letzten Jahren wiederholt vor den Gefahren des Trampolinspringens gewarnt und auf die besondere Gefährdung von kleinen Kindern hingewiesen. Sie empfehlen daher diese Betätigung erst ab einem Alter von sechs Jahren. Der Berufsverband der Kinder- und Jugendärzte gibt folgende Warn- und Sicherheitshinweise zur Nutzung eines Trampolins:
• Kinder unter sechs Jahren gehören nicht auf ein Trampolin.
• Nicht ohne Netz und niemals zusammen springen.
• Keine Saltos oder anderen Überkopfsprünge.
• Nur in Gegenwart von Erwachsenen springen.
Ergänzend empfiehlt Thomas Meyer, auf Spielgeräte, wie Bälle, auf dem Trampolin zu verzichten. „Wenn man diese Regeln befolgt, bietet das Trampolinspringen Spiel und Spaß mit geringem Risiko für böse Überraschungen“, so der Mediziner abschließend.
